Майже втратив руку через бензопилу: у Львові лікарі провели складну операцію
- Новини України
-
•
-
- Світлана Іванченко
-
•
-
3:15, 27 лютого, 2026
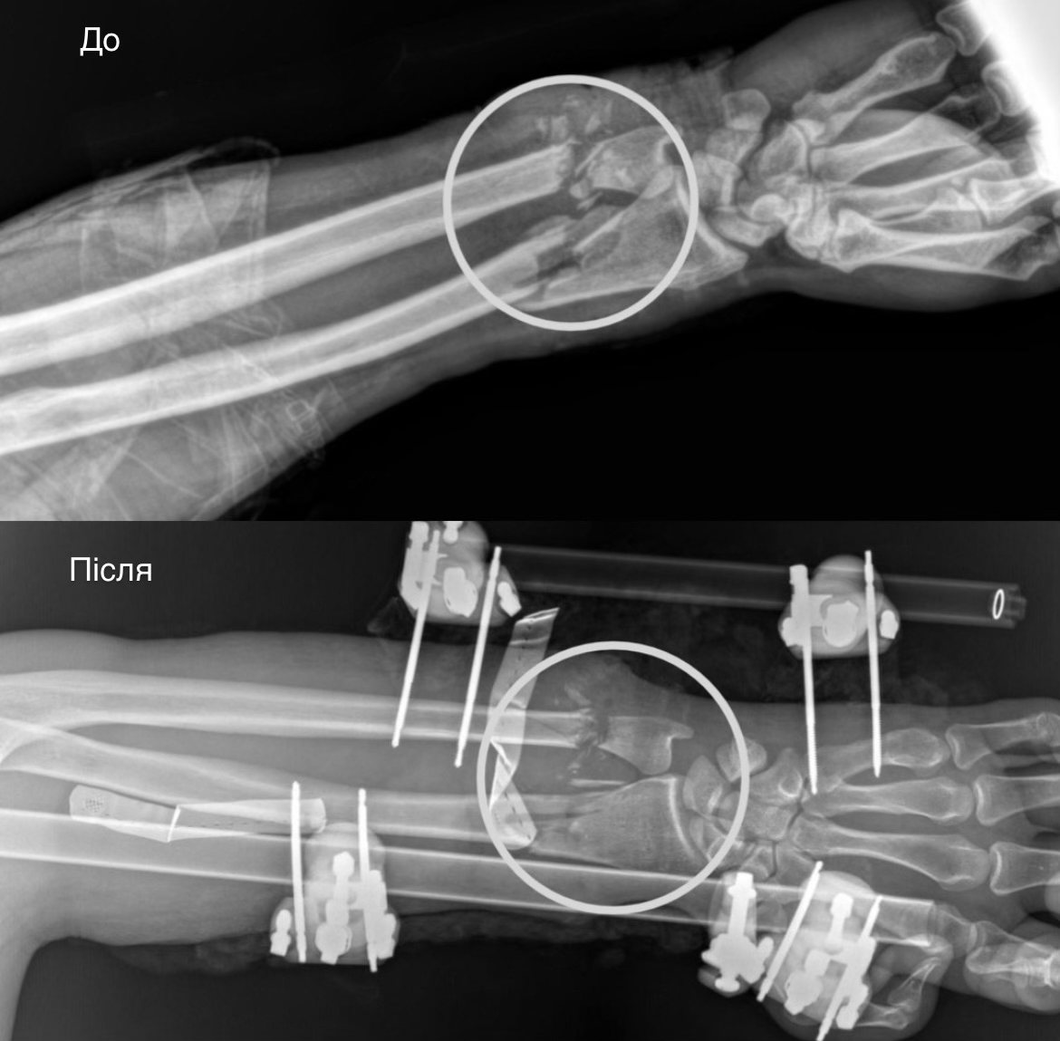
У Львові медики провели унікальну операцію та зберегли руку 37-річному чоловікові, який під час заготівлі дров майже повністю відтяв собі ліве передпліччя бензопилою.
Про цей випадок розповіли у Перше медичне об'єднання Львова.
Трагедія сталася раптово — інструмент вислизнув із рук і практично перерізав передпліччя. Дружина постраждалого не розгубилася: наклала саморобний джгут і викликала швидку. Чоловіка швидко доправили до лікарні та одразу повезли в операційну.
Стан був украй важкий: рука трималася фактично лише на шкірі. Артерії були повністю перерізані, кістки зламані, пошкоджені м’язи, сухожилля та нерви. За порятунок кінцівки взялася команда лікарів різних спеціальностей.
Спочатку травматологи зафіксували переломи спеціальним апаратом. Потім судинні хірурги відновили кровообіг, зшили пошкоджені судини.
Завідувач відділення судинної хірургії Андрій Мелень пояснив, що операція була дуже складною, адже потрібно було відновити всі структури руки та повернути їй функцію.
— Складність оперативного втручання полягала у відновленні всіх структур і, по суті, самої функції руки. Без відновлення кровопостачання рука була б нежиттєздатною і довелося б виконувати ампутацію. Лише злагоджена поетапна робота мультидисциплінарної команди дала шанс її зберегти, — пояснив лікар.
На наступному етапі лікарі відновили м’язи та сухожилля, щоб повернути рухи згинання й розгинання. Пошкоджені нерви підготували до ще однієї операції, яку планують провести через один-два місяці. Завершили операцію пересадкою власної шкіри пацієнта, щоб закрити рану.
Зараз чоловік проходить тривалу реабілітацію. Шкіра прижилася, поступово повертається рухливість пальців. Медики кажуть, що операція дала шанс не лише уникнути ампутації, а й повністю відновити функції руки.
Раніше хірурги міської клінічної лікарні №10 в Одесі провели унікальну операцію, одночасно усунули два смертельно небезпечні стани: гострий мозковий інсульт і тромбоемболію легеневої артерії.



